Occlusal Reorganisation


CASE BACKGROUND

Marijka is a delightful lady with a very marked skeletal Class 3 presentation. She was referred to The Implant Centre by her dentist as her 7-unit upper bridge was clearly failing. This bridge had been fitted 24 years before, but the supporting teeth had undergone both severe decay as well as periodontal bone loss.

WHAT WE DID

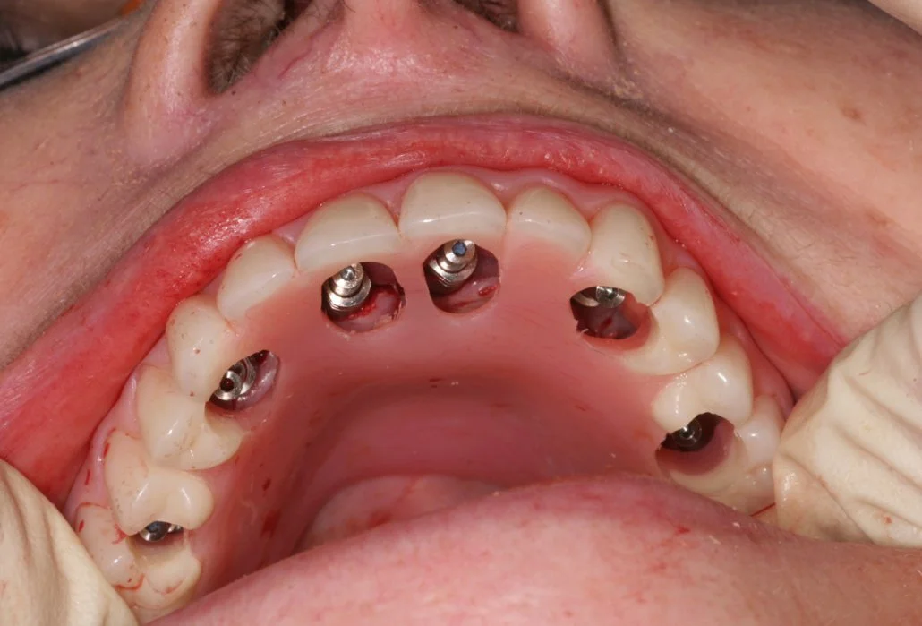
The key to the success of Marijka’s treatment was the careful pre-operative planning that was carried out. Her surgery was all carried out on a single morning, with the extraction of her remaining upper teeth and the precise placement of 6 upper implants. On the same morning, a temporary fixed implant bridge was made using the prosthetic shell made prior to the surgery.

This temporary screw-retained fixed implant bridge was made with an edge-to-edge incisal relationship which Marijka absolutely loved.

This temporary fixed bridge allowed both Marijka and The Implant Centre to assess the huge changes we had made to her occlusion. As a result, we could see that we could make the definitive upper bridge even better if some occlusal reduction was carried out to some of her lower incisors and to two of her heavily-filled and over-erupted lower molar teeth.

The laboratory therefore made occlusal reduction guides to ensure exactly the right amount of tooth substance was removed – sufficient to improve the aesthetics and occlusion of the upper bridge whilst causing the least damage to the teeth being adjusted.

With this done, the definitive upper bridge could be made. For this, a reinforcing frame was designed to fit perfectly within the desired prosthetic envelope, and this beam was precision-milled in titanium. Milling this bridge in this way ensure an absolutely perfect fit between the bridge and the underlying implants – something we know is absolutely critical to the long-term health of the restoration.

Because of the large change in the angulation of the upper incisors, necessary to provide Marijka with her desired appearance, the bridge was designed with the palatal surface of the incisal portion of the bridge made entirely out of titanium – ensuring the necessary strength to reinforce her proclined upper incisors.

THE OUTCOME

Her old failing upper bridge had made eating difficult for Marijka for years, but her new upper bridge with its beautifully even occlusal plane has now made eating a pleasure again.

Gone is that bulldog appearance, and these days, with her beautiful new teeth, Marijka just can’t stop smiling.

This innovative solution was only possible because of the close collaboration between surgeon, restorative clinician and the laboratory.