Case Studies


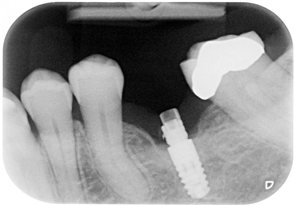
Exploding Abutments

We have seen some major issues recently with the use of ‘fake’ abutments on implants we have placed. One such case is seen here where the referring dentist did not use Ceramic Designs and sadly this has harmed everyone involved.

Occlusal Reorganisation

Marijka is a delightful lady with a very marked skeletal Class 3 presentation. She was referred to The Implant Centre by her dentist as her 7-unit upper bridge was clearly failing. This bridge had been fitted 24 years before, but the supporting teeth had undergone both severe decay as well as periodontal bone loss.